티스토리 뷰
목차
1. 치매란 무엇인가 — 단순한 ‘기억력 감퇴’가 아니다

치매(dementia)는 뇌의 신경세포가 점차 손상되면서 인지기능이 저하되고, 일상생활 능력에 영향을 미치는 퇴행성 뇌질환이다. 흔히 ‘기억력이 나빠지는 병’으로만 생각되지만, 실제로는 사고력, 판단력, 언어능력, 감정조절 등 인간의 복합적인 뇌 기능이 전반적으로 영향을 받는다.
의학적으로 치매는 ‘질환명’이 아니라 증후군(syndrome)에 가깝다. 즉, 여러 원인에 의해 공통적으로 나타나는 인지 저하 증상의 묶음이다. 대표적인 원인은 알츠하이머병(Alzheimer’s disease)으로, 전체 치매 환자의 약 60~70%를 차지한다. 그 외에도 혈관성 치매, 루이소체 치매, 전두측두엽 치매 등이 있으며, 각기 다른 병리적 기전을 가진다.
알츠하이머병의 경우, 뇌에 아밀로이드 베타 단백질과 타우 단백질이 비정상적으로 축적되면서 신경세포 간 연결이 끊기고, 결국 세포 사멸로 이어진다. 혈관성 치매는 뇌졸중이나 미세혈관 손상으로 인해 뇌에 산소와 영양이 제대로 공급되지 않아 발생한다. 루이소체 치매는 파킨슨병과 유사하게 루이소체(Lewy body)라는 비정상 단백질이 신경세포 내에 쌓여 발생하며, 환각과 수면장애가 특징적이다.
치매는 단순히 나이 탓으로 생기는 것이 아니다. 노화가 위험 요인이긴 하지만, 누구나 나이 들었다고 해서 치매가 생기는 것은 아니다. 신경세포의 손상 속도와 뇌의 보상 능력, 생활습관, 유전적 요인 등이 복합적으로 작용한다. 결국 치매는 ‘뇌의 질병’이며, 조기 발견과 관리가 예후를 바꿀 수 있는 질환이다.
2. 치매의 주요 증상과 진행 단계
치매의 초기 증상은 매우 미묘하게 시작된다. 최근 일 기억이 희미해지는 경미한 건망증이 대표적이다. 예를 들어, 방금 한 말을 잊거나, 물건을 어디 두었는지 기억하지 못하거나, 약속 날짜를 혼동하는 식이다. 이런 현상은 단순 노화와 구별이 어렵지만, 결정적인 차이는 ‘일상생활의 장애 여부’다. 노화로 인한 건망증은 힌트를 주면 기억을 되살릴 수 있지만, 치매는 기억 자체가 사라진다.
진행이 시작되면 기억력 저하 외에도 언어능력 저하, 판단력 저하, 성격 변화, 공간지각 장애 등이 함께 나타난다. 특히 사회적 관계를 유지하기 어려워지며, 주변 사람조차 알아보지 못하는 경우도 많다.
의학적으로 치매의 진행은 경도인지장애(MCI) → 초기 → 중기 → 후기로 구분된다.
- 경도인지장애(MCI): 인지 저하가 있지만 일상생활은 가능. 이 시기 조기 개입이 가장 중요하다.
- 초기 치매: 기억력과 집중력 저하가 두드러지며, 복잡한 업무 수행이 어려워진다.
- 중기 치매: 옷을 잘못 입거나 식사를 잊는 등 일상적 기능에 문제가 생긴다.
- 후기 치매: 언어와 운동 능력까지 상실되어 전적인 보호가 필요하다.
이러한 변화는 서서히 나타나지만, 한 번 손상된 신경세포는 회복이 어렵다. 따라서 조기 진단이 무엇보다 중요하다. 주기적인 인지기능 검사와 가족의 세심한 관찰이 조기 발견의 핵심이다.
3. 원인과 위험 요인 — 뇌의 퇴행을 가속하는 요소들
치매의 원인은 복합적이다. 가장 큰 요인은 나이지만, 유전적 요인, 혈관 질환, 생활습관, 두부 외상, 영양 결핍 등도 모두 영향을 미친다.
알츠하이머병의 경우, APOE ε4 유전자가 치매 발생 위험을 높이는 것으로 알려져 있다. 혈관성 치매는 고혈압, 당뇨, 고지혈증, 심장 질환과 밀접한 관련이 있으며, 이런 만성질환이 오래 지속될수록 뇌혈류 저하로 이어진다.
또한 흡연, 과음, 운동 부족, 수면 장애, 비만은 뇌의 염증 반응을 유발하거나 산화 스트레스를 증가시켜 신경세포 손상을 가속화한다. 반대로, 꾸준한 운동과 뇌 자극 활동(책 읽기, 악기 연주, 사회활동 등)은 신경 가소성을 유지시켜 치매 예방에 긍정적인 영향을 미친다.
최근 연구에서는 장-뇌 축(gut-brain axis), 즉 장내 미생물 불균형이 치매와 연관된다는 보고도 늘고 있다. 장내 염증이 증가하면 아밀로이드 단백질 축적을 촉진할 수 있다는 것이다. 결국 치매는 단일 원인보다는 “몸 전체의 건강 상태가 뇌로 반영된 결과”라 할 수 있다.
4. 진단과 치료 — 완치는 어렵지만, 조기 대응이 해답이다
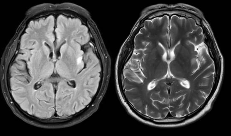
치매의 진단은 단순히 기억력 테스트만으로 이뤄지지 않는다. 전문의는 신경심리검사, 뇌 영상검사(MRI·PET), 혈액검사, 유전자 검사 등을 종합적으로 시행해 원인과 병기를 평가한다.
특히 MRI는 뇌 위축의 정도와 뇌혈관 손상 여부를 확인하는 데 필수적이다. PET-CT는 대사 저하 부위를 시각화하여 치매 유형을 감별할 수 있다. 혈액검사에서는 갑상선 기능 이상, 비타민 결핍, 감염 등 가역적 원인을 감별한다.
치료의 목표는 ‘완치’가 아니라 진행 속도를 늦추고 삶의 질을 유지하는 것이다. 알츠하이머병에는 콜린에스터레이스 억제제(도네페질, 리바스티그민 등)와 NMDA 수용체 길항제(메만틴)가 주로 사용된다. 최근에는 항아밀로이드 항체치료제(레카네맙, 도나네맙 등)가 새로운 치료 가능성을 열었다.
비약물적 치료도 중요하다. 인지 훈련, 음악·미술 치료, 사회활동 참여는 뇌 자극을 통해 인지기능 저하를 늦추는 데 효과적이다. 가족 교육과 심리 지원 역시 필수적이다.
5. 치매 예방과 돌봄 — 기억을 지키는 생활 습관
치매 예방의 핵심은 뇌 건강을 유지하는 것이다. 혈관 건강 관리, 운동, 식습관, 수면, 사회적 교류는 모두 뇌 기능을 보호한다.
- 혈관 건강 관리: 고혈압, 당뇨, 고지혈증의 조절은 필수이다.
- 운동: 주 3회 이상 유산소 운동은 뇌혈류를 증가시키고 신경세포 연결을 강화한다.
- 식습관: 지중해식 식단은 항산화 효과로 신경세포 손상을 줄인다.
- 수면과 스트레스 관리: 7시간 이상의 숙면은 아밀로이드 축적을 줄인다.
- 사회적 교류: 사람과의 대화, 취미 활동, 봉사활동은 인지기능 유지에 도움이 된다.
치매 환자 돌봄의 핵심은 환자의 존엄성을 지키는 것이다. 반복적인 설명, 일관된 환경, 따뜻한 대화가 혼란을 줄이고, 보호자 역시 사회적 지원이 필요하다.


결론: 치매는 ‘기억의 병’이 아니라 ‘인간의 병’이다
치매는 한 사람의 기억이 서서히 사라지는 과정이지만, 그 이면에는 한 인간의 관계, 감정, 정체성이 함께 희미해지는 여정이 있다. 그러나 조기 발견과 꾸준한 관리, 사회적 이해와 지원이 더해진다면 치매 환자와 가족은 품위 있는 삶을 이어갈 수 있다.
우리 사회가 고령화될수록 치매는 개인의 질병을 넘어 모두의 과제가 된다. 기억을 잃는다는 것은 ‘나’를 잃는 것이지만, 주변의 이해와 연대는 그 공백을 메워줄 수 있다. 치매를 두려움이 아닌 돌봄의 언어로 바라볼 때, 그 병은 인간에 대한 깊은 이해의 출발점이 된다.